
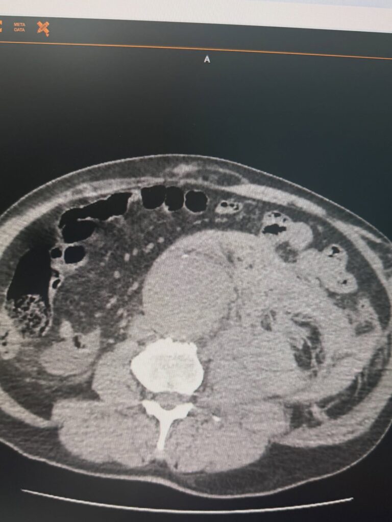
У Черкаській обласній лікарні успішно провели лікування пацієнта з розривом аневризми черевної аорти. Медики пояснюють, що це один з найнебезпечніших ургентних станів у судинній хірургії.
Медики зазначають, що в таких випадках рахунок іде на хвилини, а кожне рішення має критичне значення. Завдяки оперативній діагностиці, злагодженій роботі команди та своєчасному хірургічному втручанню вдалося врятувати життя пацієнта.

Після проведеного лікування пацієнт повністю відновився.
За інформацією Черкаської обласної лікарні
ЧИТАЙТЕ ТАКОЖ: У Черкаському онкоцентрі трансплантували нирку пацієнтові, який п’ять років чекав на операцію
Усі найцікавіші новини Черкас та регіону можна отримувати на нашому каналі в Telegram







